根管治療
根管治療とは歯の根っこ(神経)の治療です。虫歯が進行すると歯の中心部にある歯髄にまで到達し、激しい痛みを伴うようになります。歯髄は血管を含む歯の神経で、歯の知覚と栄養供給の役割を担っています。根管治療は、虫歯菌に感染した歯髄や細菌の固まりなどの汚れをきれいに取り除き歯の寿命を伸ばす治療です。強い痛みを伴う虫歯でも、適切な根管治療が行われれば、ご自身の歯を残したまま歯の機能を取り戻すことができます。根管はとても細く複雑な構造をしているため、根管治療は歯科治療の中で頻度が多いものの、繊細で難易度の高い治療の一つとされています。
「ご自身の歯で美味しく食べて笑顔でいたい」この思いに最大限お応えできるよう当院では根管治療に力を入れております。大切な歯を残すために全力を尽くして治療を行います。

ラバーダム防湿は、薄いゴム製シートで治療する歯以外を覆い、唾液中の細菌が根管内に侵入することを防ぎます。無菌的な環境で行うべき根管治療においてラバーダム防湿は最も重要な処置です。薬剤や治療器具の誤嚥防止、舌や頬粘膜のけがの防止、防湿による詰め物の接着強度の向上という効果もあり、治療には必須です。楓の森歯科クリニックではすべての根管治療にラバーダム防湿を行っております。
根管治療で重要なのは精密性です。縫い針程度の太さしかない根管内を掃除する治療であり、細かい処置の連続でミクロン単位の正確さが求められます。これまでの裸眼での診療と比較すると、圧倒的に精密で質の高い治療を行うことができます。当院では高倍率ルーペを導入し、より精密で確実な根管治療をめざしています。
歯科用CTは3次元の立体画像で歯のレントゲンを撮ることができる装置です。根管は非常に複雑な形状をしています。根管の清掃・消毒を確実に行うためには、まず根管の構造や病巣の位置・大きさを正確に把握することが重要となります。その診査診断に役立つのが歯科用CTです。平面のレントゲン画像では確認できない細部も、歯科用CTの立体画像なら詳細に把握できるため、より一層精密な診査診断、治療が可能になります。
根管治療では、歯髄を除去するためにファイルと呼ばれる器具を使用します。このファイルには、①一般に用いられるステンレスファイルと、②ニッケルチタンファイルがあります。すべての根管は大なり小なり曲がっているため、硬いステンレスファイルでは深部に入っていかずに、過度に根管を削ってしまうことがあります。一方でニッケルチタンファイルは超弾性の性質を持ち、曲がった根管に沿って入っていくため必要最小限の切削量でかつ精密に歯髄の除去を行うことが可能です。
Before
After
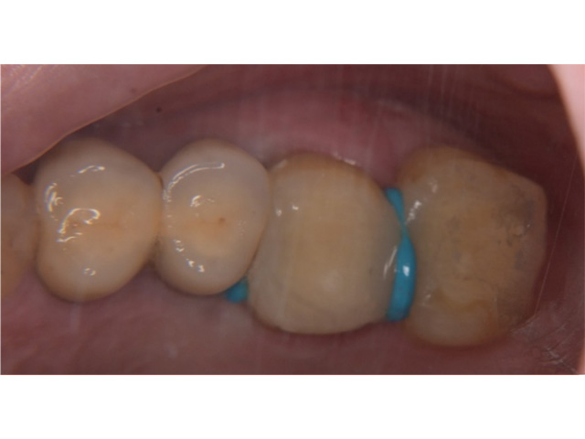
| 主訴 | 左上の奥歯がズキズキ痛む |
|---|---|
| 治療内容 | 左上第一小臼歯の根管治療(ラバーダム防湿下) |
| 治療回数・期間 | 2回(2週間) |
| 費用 | 保険適応 |
| リスク・副作用 | 根管治療は術前の精密な診査診断およびラバーダム防湿を用いた無菌環境下での治療によって成功率は高まってきましたが治療の成否を決める多くの要素があるため、根管治療がなされた後も再治療や外科処置、抜歯となる可能性が少なからずあります。また治療中には器具の破折や穿孔、修復物の損傷、歯の破折、術中・術後の痛みや腫れが生じることが稀にあります。根尖病変(再感染)を防ぐには適合の良好な補綴物を作製することや定期的なかみ合わせのチェックが必要です。 |
Before
After
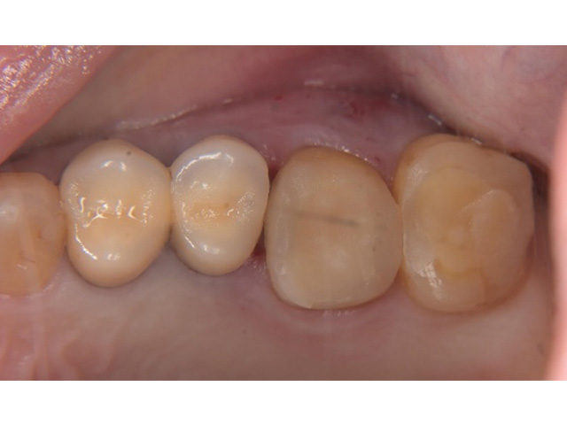
| 主訴 | 右上の奥歯が咬むと痛む |
|---|---|
| 治療内容 | 右上第一大臼歯、第二大臼歯の精密根管治療 |
| 治療回数・期間 | 3回(3週間) |
| 費用 | 保険適応 |
| リスク・副作用 | 根管治療は術前の精密な診査診断および無菌環境下での治療によって成功率は高まってきましたが治療の成否を決める多くの要素があるため、根管治療がなされた後も再治療や外科処置、抜歯となる可能性が少なからずあります。また治療中には器具の破折や穿孔、修復物の損傷、歯の破折、術中・術後の痛みや腫れが生じることが稀にあります。根尖病変(再感染)を防ぐには適合の良好な補綴物を作製することや定期的なかみ合わせのチェックが必要です。 |
Before
After 根管充填直後
After 補綴物装着後
| 主訴 | 左下の奥歯の違和感 |
|---|---|
| 治療内容 | 左下第一大臼歯の精密根管治療~補綴治療 |
| 治療期間 | 4回(根管治療は2回) |
| 費用 | 保険適応内 |
| リスク・副作用 | 根管治療は術前の精密な診査診断および無菌環境下での治療によって成功率は高まってきましたが治療の成否を決める多くの要素があるため、根管治療がなされた後も再治療や外科処置、抜歯となる可能性が少なからずあります。 また治療中には器具の破折や穿孔、修復物の損傷、歯の破折、術中・術後の痛みや腫れが生じることが稀にあります。 根尖病変(再感染)を防ぐには適合の良好な補綴物を作製することや定期的なかみ合わせのチェックが必要です。 |
Before
親知らず移植後当日
After(移植後2か月)
After(移植後2か月)2
| 主訴 | 左下の奥歯がズキズキ痛む |
|---|---|
| 治療内容 | 左下第一大臼歯抜歯し左下智歯(親知らず)移植後の根管治療 |
| 治療回数・期間 | 7回(3か月)※根管治療は2回 |
| 費用 | 保険適応 |
| リスク・副作用 | 根管治療は術前の精密な診査診断および無菌環境下での治療によって成功率は高まってきましたが治療の成否を決める多くの要素があるため、根管治療がなされた後も再治療や外科処置、抜歯となる可能性が少なからずあります。また治療中には器具の破折や穿孔、修復物の損傷、歯の破折、術中・術後の痛みや腫れが生じることが稀にあります。根尖病変(再感染)を防ぐには適合の良好な補綴物を作製することや定期的なかみ合わせのチェックが必要です。 |
※以下の場合で行うことが多いです。
術前(主訴は左上の奥歯の歯ぐきの腫れが気になるということでした)
左上の第一大臼歯および第二大臼歯をラバーダムというゴムのマスクを使用して無菌的な環境の中で歯の神経の治療を行いました。


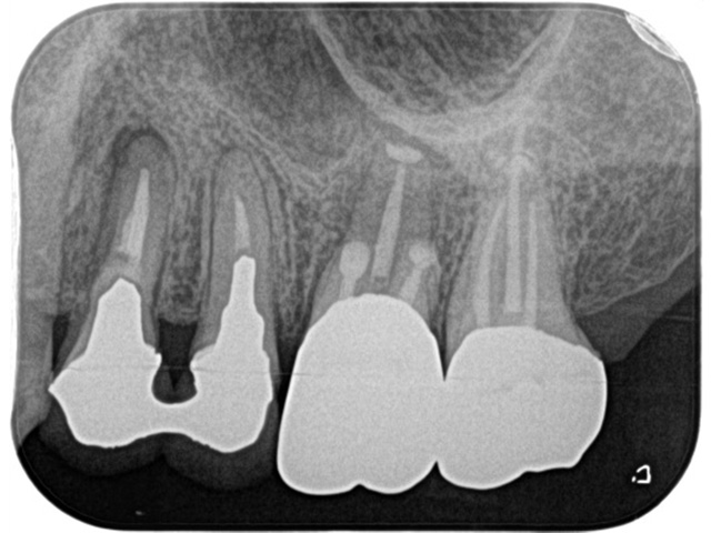
根管治療終了後のレントゲン写真です。
根の先までお薬を詰めることができましたが1か月後歯ぐきの腫れが再発したため患者さまとご相談し意図的再植術を行い感染源の除去を行うことしました。

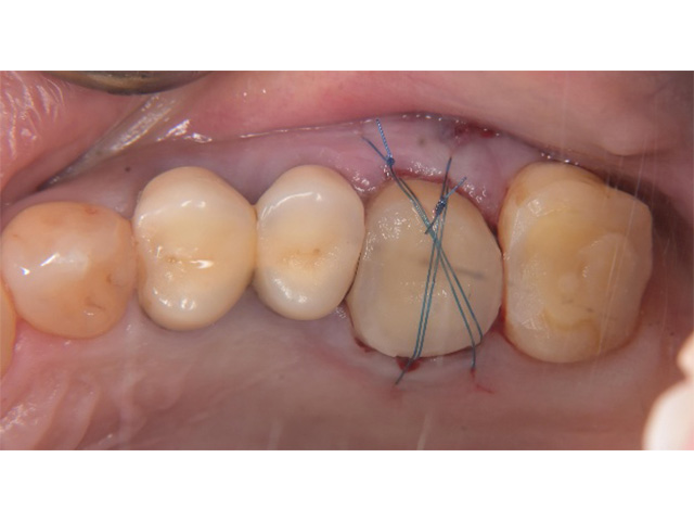
① 隣の歯に負担をかけないように事前に水色のゴムを入れて歯と歯の間を開きます


② 一度原因歯を抜去します

③ 抜いた歯を口腔外で視診し根が折れていないか確認します。
そのあと歯根の先の部分を口腔外で3ミリ程度切断し、裏側からMTAセメントというセメントを詰めて口腔内に戻し、縫合した後レントゲン写真を撮影します。





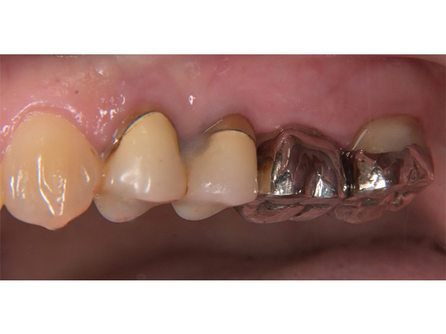
現在歯ぐきの腫れも、歯の痛みもなく経過良好です。
手前の歯については患者さまのご希望により経過観察中です。


| 主訴 | 左上の奥歯の歯ぐきが腫れて違和感が続いている |
|---|---|
| 治療内容 | 左上第一大臼歯および第二大臼歯の根管治療(ラバーダム防湿下)及び左上第一大臼歯の意図的再植術 |
| 治療回数・期間 | 6回 内訳【根管治療:3回(2歯合わせて)、意図的再植術:1回、被せものの作成:2回】 |
| 費用 | 保険適応 |
| リスク・副作用 | 根管治療は術前の精密な診査診断およびラバーダム防湿を用いた無菌環境下での治療によって成功率は高まってきましたが治療の成否を決める多くの要素があるため、根管治療がなされた後も再治療や外科処置、抜歯となる可能性が少なからずあります。また治療中には器具の破折や穿孔、修復物の損傷、歯の破折、術中・術後の痛みや腫れが生じることが稀にあります。根尖病変(再感染)を防ぐには適合の良好な補綴物を作製することや定期的なかみ合わせのチェックが必要です。 |
初めに診査を行い、検査結果や現在の状態、今後の治療方針や治療回数等についてご説明いたします。
ラバーダム防湿、ニッケルチタンファイルを用いて、拡大視野下で治療を行います。痛みが強い場合は応急処置(咬み合わせの調整や投薬等)を事前に行います。
コンポジットレジン(樹脂)やファイバーポストという材料を用いて土台をたてます。虫歯の範囲が狭い場合はかぶせ物をせずにコンポジットレジンで治療を終える場合もあります。
根管治療後、咬んだ時に痛みが出ないか症状の確認のために必要に応じて仮の歯を作製し様子を診ることがあります。
問題がなければ最終的なかぶせ物の型取りを行い装着します。
根管治療では「無菌的操作」がとても重要です。
実はお口の中には常に菌がいる状態です。
そして歯の神経の治療中に唾液が入ってしまうと唾液中の細菌が歯の根の中に入ってしまい治療がうまくいきません。
治療中に細菌が入り込まないようにすることで、治療の成功率や予後が大きく変わります。
そこで重要なのが「ラバーダム」というゴムのマスクを使用することです。
そうすることで手術室のような無菌的な空間を作ることができます。

楓の森歯科クリニックでは、根管治療の際には必ずラバーダムというゴム製のマスクを使用し、治療部位を唾液や細菌から隔離した状態で行っています。
また術前や術中の診査診断も非常に重要です。
症例によっては根の先に感染があるだけでなく、残念ながら歯の根が折れていたりするケースなども見受けられます。
楓の森歯科クリニックでは術前にCT撮影を行い、3次元的に根の形態や根管(歯の神経の入り口)の数などをしっかりと精査したうえで根管治療に行います。
CT撮影は保険適応内で行え、術前に患者さまがご納得いただけるまで説明させていただきますのでご安心ください。
根っこの先に膿や炎症がある場合、その程度や経過によっても異なりますが、成功率はおよそ**60〜70%**とされています。
一方で、初めての根管治療(初回治療)の場合は、**約90%**と高い成功率が報告されています。
ただしこの数字は海外(ほとんどの歯科医院でラバーダムが使用されている)での統計であるためラバーダム防湿の導入率が5~15%である日本ではこの数字よりも成功率は低いといわれております。
状況によってあります。
歯の根の状態や炎症の具合によっては、治療後もしばらく痛み(特に咬んだ時)や違和感が残ることがあります。
時間の経過とともに症状が軽減することも多いですが、それでも症状が続く場合や、レントゲンなどの画像検査で改善が見られない場合には、外科的な根管治療を行うことがあります。
外科的歯内療法(外科的な根管治療)には、
などがあります。どちらも保険適応内で行えます。
詳しくは、当院の症例に掲載しておりますのでご覧いただけると幸いです。