Warranty System
明確で安心できる
保証制度
(保証期間15年)
Specialization
【専門性】
国際口腔インプラント学会認定医
日本顎咬合学会認定医
が対応します
治療計画からメンテナンスまで
“妥協しないインプラント”
Warranty System
明確で安心できる保証制度
(保証期間15年)
Specialization
【専門性】
国際口腔インプラント学会認定医
日本顎咬合学会認定医
が対応します
1Day
インプラント
対応
(抜歯即時埋入)
難症例
に対応
カウンセリング
無料
Warranty System
明確で安心できる
保証制度
(保証期間15年)
Specialization
【専門性】
国際口腔インプラント学会認定医
日本顎咬合学会認定医
が対応します
Worries
楓の森歯科クリニックでは、こうしたご不安やお悩みに寄り添い、
患者様一人ひとりに合ったインプラント治療をご提案しています。
About Implant

歯を失ったときの治療には、これまで入れ歯やブリッジが一般的でしたが、近年ではインプラントという治療法も広く行われています。
インプラントは、あごの骨にチタン製の人工の歯の根を入れ、その上に歯を作る治療で、自然な見た目としっかり噛める感覚が特徴です。ブリッジのように健康な隣の歯を削る必要がないことも大きなメリットです。
奥歯には、強く噛むと50〜60kgほどの力がかかるといわれています。インプラントはあごの骨にしっかり固定されるため、安定して硬いものもしっかり噛みやすい治療法です。
楓の森歯科クリニックでは患者さんのお口の状態やご希望に合わせて、最適な治療方法を丁寧にご説明いたします。
気になることがありましたら、どうぞお気軽にご相談ください。
Reason

Reason01
条件が整えば、歯を抜いたその日にインプラントを埋入する「抜歯即時埋入」にも対応しています。
といったメリットがある一方で、すべての方に適応できる治療ではありません。
当院ではCT診断に基づき、適応・非適応を慎重に判断します。

Reason02
「骨が少ないと言われた」「再治療が必要と言われた」「抜歯しかないと言われた」
このようなご相談を多くいただいています。
GBR(骨造成)やサイナスリフトなどの骨造成術、保存治療との比較を含めた総合的な診断を行い、治療の可能性を最大限検討します。
※すべての症例で可能という意味ではありませんが、「本当にできないのか」を丁寧に見極めます。

Reason03
インプラントは入れた瞬間だけきれいでも意味がありません。
当院では、
まで考慮した設計を行います。
長く快適に使えるインプラントを目指し、必要に応じてナイトガードのご提案も行っています。

Reason04
インプラントを長く安心して使っていただくためにインプラントは、できるだけ長く快適に使っていただきたい治療です。
そのためには、治療だけでなく治療後の定期的なチェックやメンテナンスがとても大切になります。
楓の森歯科クリニックでは、患者さまに安心して治療を受けていただけるよう、長期保証制度を設けています。
治療後10年間:無料保証
10年目以降5年間:30%の部分保証
これは、私たちが治療の精度と長期的な安定性に責任を持つという姿勢の表れです。
インプラントは、入れて終わりではなく、その後も長く守っていく治療です。
当院では、治療後もお口の健康をサポートする「生涯かかりつけ医」を目指しています。
※保証には定期的なメインテナンスへの通院が必要となります。
気になることがありましたら、どうぞお気軽にご相談ください。

Difference
失った歯をどう治すかは、これからの毎日に関わる大切な選択です。
歯を失ってしまったときの治療には、ブリッジや入れ歯、そしてインプラントなど、いくつかの方法があります。
それぞれにメリットがありますが、「しっかり噛めること」「見た目の自然さ」「他の歯へのやさしさ」を重視される方には、インプラントがとても適した選択肢です。
「何を選べばいいか分からない」「自分に合っているのはどれだろう?」
そんな方のために、それぞれの治療法の特徴をわかりやすくまとめました。ご自身にぴったりの方法を見つけるための参考になれば幸いです。

Comparison

治療修了まで(被せもの装着まで)
6~9ヶ月かかります

抜歯から3ヶ月ほどで
最終的な被せものが入ります
治療期間を大幅に短縮
抜歯後の治療を待つ「数ヶ月の空白期間」をゼロにします。
見た目の美しさを維持
抜歯後すぐに支えを入れることで、骨や歯茎が瘦せるのを防ぎます。
身体への負担が少ない
手術が1回で済み、切開範囲も抑えられるため術後の回復が早まります。
| 比較項目 | 通常治療(待時埋入) | 抜歯即時埋入 |
|---|---|---|
| 全体の治療期間 | 約6~12ヶ月 | 約3~5ヶ月 |
| 手術の回数 | 通常2回 | 1回 |
| 抜歯後の待機時間 | 3~6ヶ月 | 0日(即時埋入) |
Case
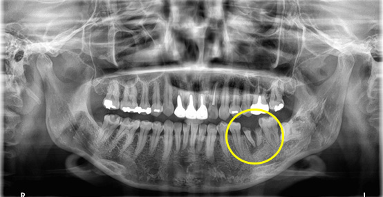
患者さまは「奥歯の歯ぐきが腫れている」「咬むと違和感がある」とのことで来院されました。
検査を行ったところ、奥歯には強い負担がかかっており、歯の根が折れてしまっている状態(歯根破折)でした。
残念ながらこの状態では歯を残すことが難しく、抜歯が必要でした。

この症例では
という問題がありました。


この状態でそのままインプラントを入れると
が起こる可能性があります。
当院では長く美しく機能するインプラント治療を患者さまに提供することを最も大切にしています。
そのため術前に徹底した診断と治療計画を立て
をすることで最終的な被せものの厚みを確保できる設計を行いました。
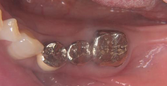
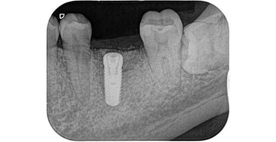
一次手術後(インプラント体埋入後の写真です)


インプラント手術後は大きなトラブルもなく、現在はしっかり咬めて違和感がない状態で経過しています。
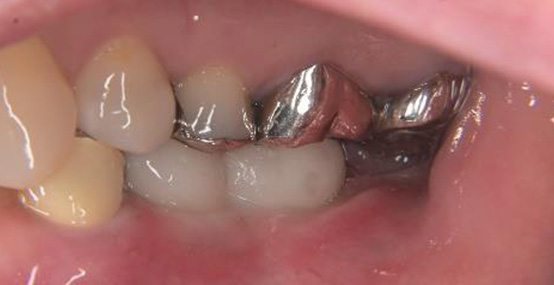
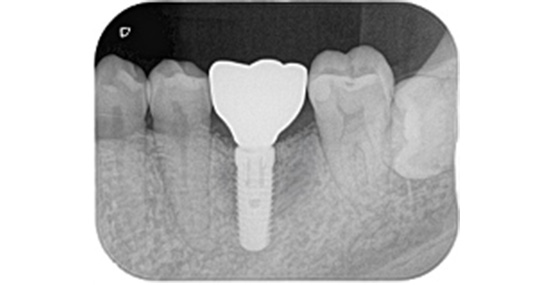
上部構造装着後の写真です(スクリュー固定の被せものを装着しています)



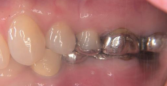
被せものの比較(左が術前、右が術後の写真です)
被せものの比較(上が術前、下が術後の写真です)
インプラントの植立位置を工夫することによって左下の被せものの厚みが確保され、被せものが割れにくい構造にすることができました。


当院ではインプラントは入れて終わりの治療ではないと考えています。
長期的に快適に使っていただくため
まで考えた治療設計を行っています。
術前の被せものの厚みが薄いという問題点も骨の高さ及びインプラント体を入れる深さを調整することにより十分な被せものの厚みが確保できています。
インプラント治療の設計・手術・最終補綴まですべて、ICOI(国際口腔インプラント学会)認定医及び日本顎咬合学会、咬み合わせ認定医が責任を持って対応します。
当院には「骨がないと言われた」「インプラントは難しいと言われた」という方が相談に来られることも多くあります。
お口の状態によっては対応できる場合もありますのでインプラント治療について気になる方はぜひ一度ご相談ください。
| 治療内容 | 左下第二小臼歯および第一大臼歯部インプラント治療 |
|---|---|
| 治療期間 | 3ヶ月 |
| 費用 |
トータル¥880,000(税込) 1本あたり¥440,000(税込) |
| リスク・副作用 | インプラントは虫歯になりませんが、歯周病(インプラント周囲炎)になるリスクがあります。歯周病予防のためご自宅でも十分な清掃を行っていただく必要があります。そのため歯科医院でのメインテナンスやかみ合わせのチェックが必要です。 ※インプラントの上部構造(かぶせ物の部分)の破折防ぐために就寝時のナイトガードの作成を勧めることがあります。 |
患者さまは「奥歯の被せものが外れたが、痛みがなかったのでそのままにしていた」とのことで来院されました。
検査を行ったところ、むし歯が進行しており、残念ながら歯を残すことが難しい状態でした。


奥歯を失った場合の治療方法として
をご説明しました。
ブリッジの場合は両隣の健康な歯を削る必要があること、
部分入れ歯は咬みにくさや違和感が出ることがある点などをお伝えしました。
患者さまと相談した結果、健康な歯をできるだけ守りたい、しっかり咬める歯にしたい
という理由から、インプラント治療を選択されました。
この症例では、抜歯する歯の周囲で骨が少し痩せている状態でした。
そのため、インプラントをしっかり支えるために、骨造成(骨を補う治療)を同時に行い、インプラントを埋入しました。
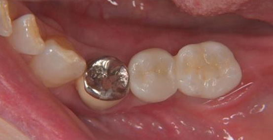
術前の状態

術中:頬側の骨の不足している箇所に人工骨と吸収する膜を入れている写真です


一次手術後のレントゲン写真です。
吸収していた骨の部分は人工の骨を足すことで無事に回復することができています。

手術後は大きなトラブルもなく、しっかり咬めて、違和感がない状態で、現在も良好に経過しています。
左:最終的な被せものの装着時の状態
中:インプラントのホール(穴)を樹脂で封鎖した後
右:装着後の状態のレントゲン写真です
上:最終的な被せものの装着時の状態
中:インプラントのホール(穴)を樹脂で封鎖した後
下:装着後の状態のレントゲン写真です



| 治療期間 | 5ヶ月 |
|---|---|
| 費用 |
¥476,300(税込) ※埋入代、骨造成および上部構造代含む |
| リスク・副作用 | インプラントは虫歯になりませんが、歯周病(インプラント周囲炎)になるリスクがあります。歯周病予防のためご自宅でも十分な清掃を行っていただく必要があります。そのため歯科医院でのメインテナンスやかみ合わせのチェックが必要です。 ※インプラントの上部構造(かぶせ物の部分)の破折防ぐために就寝時のナイトガードの作成を勧めることがあります。 |
Price
| 項目 | 料金 |
|---|---|
| 相談料 インプラント治療に関するご相談 |
無料 |
| CT撮影およびステント作製 | ¥3,300(税込) |
| CTによる三次元的な診断とオーダーメイドのステントを作製 | |
| インプラント埋入手術 インプラント体(フィクスチャー)を骨の中に埋入する手術です |
¥297,000(税込) |
| 上部構造 前歯部(ジルコニアレイアリング) |
¥165,000(税込) |
| 臼歯部(ジルコニアクラウン) | ¥143,000(税込) |
| ※インプラント1歯分の総額(骨造成を行わない場合) | |
| 前歯 | ¥462,000(税込) |
| 臼歯 | ¥440,000(税込) |
インプラントは顎の骨の中にインプラント体(ネジ)を植立することで機能しますが、インプラントを行う予定の部位の顎の骨が不足している場合は、人工の骨を補填し骨の幅を十分に確保した状態でインプラントを埋入する必要があります。
| 項目 | 費用(税込) |
|---|---|
| 骨移植(人工骨および人工膜の使用) | ¥88,000~110,000 ※人工骨や膜の使用量、範囲、 術式によって異なります |
| プロビジョナルレストレーション(1本あたり) 最終的なかぶせ物の前に入れる仮の歯です。必要に応じて作製します。 |
¥33,000 |
| 抜歯即時埋入加算 | ¥55,000 |
| グラフトレスサイナスリフト | ¥66,000 |
Q&A
インプラントは、失った歯の部分に人工の歯根(チタン製)を埋め込み、その上に人工の歯を装着する治療法です。見た目も機能も天然の歯に近く、しっかり噛むことができます。
手術中は局所麻酔をしっかり行うため、痛みはほとんどありません。
術後は多少の腫れや痛みが出ますが、多くの場合は痛み止めでコントロールできます。
適切なケアを続ければ10年以上使えることが多く、中には20年以上問題なく使える方もいらっしゃいます。長持ちさせるためには、定期的なメンテナンスが大切です。
※インプラントはむし歯になることはありませんがインプラント周囲炎というものになると抜け落ちてしまうことがあります。
インプラント周囲炎は喫煙されている方や糖尿病の方はなりやすいため注意が必要です。
骨の状態によりますが、通常は手術から最終的な歯が入るまで3〜6ヶ月程度です。骨を増やす処置(骨造成)が必要な場合は、さらに治療期間かかることがあります。
重度の糖尿病や全身疾患がコントロールされていない場合、また顎の骨が極端に少ない場合などは難しいことがあります。
ただし、当院では骨造成などの追加治療で対応できる場合がほとんどです。
インプラントは保険適用外の自由診療です。
当院では1本あたりの治療費の目安もご説明し、事前にお見積もりをお渡しします。
またインプラント治療の症例ページや料金表のページにも費用は掲載しておりますのでご参考ください。
ブリッジは両隣の歯を削って橋をかける方法で、入れ歯は取り外し式です。
ブリッジ治療は入れ歯よりも咬んだ感じはご自身の歯に近いのですが両隣の歯を大きく削る必要があるというデメリットがあります。
また入れ歯は歯を削る量はブリッジと比較して少ないものの咬みにくい場合があるというのがデメリットです。
インプラントは周囲の歯を削らず固定式で、噛み心地や見た目が自然です。
当院ではCT撮影による精密な診断と、シミュレーションソフトを用いた安全な埋入計画を行っています。
清潔な手術環境で行うことで感染リスクを最小限にしています。
手術中の記録も一眼レフで必ず行い、手術後に患者さまやご同伴者の方にも画像を用いた説明をさせていただきます。
もちろん手術前にもCTによる三次元的な画像の説明と実際の手術の流れも説明させていただきますのでご不明点がございましたら何なりとお申し付けください。
24時間WEB受付中!
30秒で予約完了!