「自然な笑顔をもう一度」―合志市で丁寧なセラミック治療を行う楓の森歯科クリニック
- 2025年10月27日
- セラミック治療,楓の森歯科クリニックの取り組み,患者さまからのQ&A
セラミック治療について 楓の森歯科クリニックのこだわり
皆さんこんにちは。
楓の森歯科クリニック院長の白濱義将です。
いつも投稿をご覧いただきありがとうございます。
今回の投稿は、セラミック治療についてです。
セラミック治療はどこでも同じ?
「セラミック治療」と聞くと、
どの歯科医院でも同じように白い被せ物を作る、
と思われがちですが、実際には
-
見た目
-
精度
-
持ちの良さ
に大きな差があります。
セラミック治療の品質を左右するもの
セラミック治療の品質を左右するのは、
使用する材料だけではありません。
-
型取りの精密さ
-
歯ぐきの仕上げ方
-
歯科技工士との連携体制
これらが仕上がりに大きく影響します。
楓の森歯科クリニック(合志市)では、
-
歯肉圧排
-
プロビジョナル(仮歯)による歯ぐきの調整
-
熟練した歯科技工士との綿密な連携
を行い、
自然で長持ちする本物のセラミック治療を提供しています。
セラミック治療の症例について
当院のセラミック治療の症例については、
こちらをご覧ください。
よくあるご質問(Q&A)
今回は、
セラミック治療について患者さまからよくいただく
ご質問をいくつかご紹介します。
Q1. セラミック治療はどこの歯科医院でも同じ?
A. 医院によって作り方の工程や、
技工所とのやり取りの精度が異なります。
セラミック治療は、
「材料が高ければ良い」というものではありません。
仕上がりを左右するのは、
-
歯の形をどれだけ正確に再現できるか
-
歯ぐきや噛み合わせとの調和を
どれだけ考慮して作られているか
といった点です。
Q2. 費用や保証期間が違うのはなぜ?
A. 使用素材・製作工程・保証体制・
連携している歯科技工士が
歯科医院ごとに異なるためです。
同じ「セラミック」でも、
-
使用する素材(e.max・ジルコニアなど)
-
製作方法
によって費用は異なります。
また、医院ごとの保証期間は、
治療の精度と自信の現れでもあります。
当院では、
治療後も長く安心してお使いいただけるよう、
保証制度を明確に設定しています。
※当院では5年間の保証期間を設けています。
楓の森歯科クリニックの
精密セラミック治療の流れ
① 歯肉圧排による正確な型取り
歯と歯ぐきの境目を正確に記録するため、
専用の糸を用いて歯ぐきをやさしく広げる
**「歯肉圧排」**を行います。
この工程を省くと、
-
歯と歯ぐきの境目が曖昧になる
-
被せもの装着後に段差が生じる
-
歯ぐきが腫れる
といった問題が起こることがあります。
当院では、
ミクロン単位の精度で型取りを行うことを徹底しています。
② プロビジョナル(仮歯)で歯ぐきを整える
最終的なセラミックを入れる前に、
仮歯を用いて
-
咬み合わせ
-
見た目
-
歯ぐきのライン
を整えます。
プロビジョナル期間を設けることで、
最終的なセラミックが
より自然に歯ぐきに馴染むようになります。
下の写真のように、
適切な仮歯を作ることで、
歯ぐきの形もきれいに整います。

③ 熟練した歯科技工士との連携
当院では、
セラミック専門の歯科技工士と密に連携し、
-
口腔内写真
-
色味や形の情報
などのデータを共有しながら、
患者さま一人ひとりに合った
色と形を再現します。
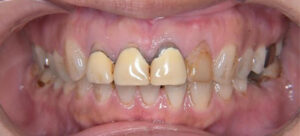
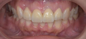
以下は、
当院でセラミック治療を行った方の
治療前・治療後の比較写真です。


Q3. 保険適用の被せものと何が違うの?
A. 保険治療との違いは
「工程の丁寧さ」と「仕上がりの精度」です。
保険診療のCAD/CAM冠は経済的ですが、
材料や工程に制約があります。
※むし歯を取り除く工程や、
歯の神経の治療においては
同じ工程を踏みます。
セラミック治療では、
シリコーン印象材という型取り材料を使用するため、
精度の高い被せものを作成することができ、
長期的に美しさと機能を保つことが可能です。
当院では、
歯の状態や患者さまのご希望に合わせて、
素材や費用のバランスも丁寧にご提案しています。
セラミック治療は「工程」で決まります
セラミック治療は、
単に「白くする治療」ではありません。
技術と工程によって仕上がりが決まる治療です。
楓の森歯科クリニックでは、
-
精密な型取り(歯肉圧排)
-
仮歯による歯ぐきラインの調整
-
技工士との連携による自然な色・形の再現
という3本柱で、
見た目にも機能的にも
長持ちするセラミック治療を行っています。
最後までお読みいただきありがとうございました。
セラミック治療をはじめ、
お口の中でお困りのことがありましたら、
どうぞお気軽にご相談ください。


